Your paragraph text (2)

Dental Crowns in Niles, IL

Affordable and Trusted Dental Crowns in Niles from Experienced Dentists

Custom-made dental crowns designed to restore strength, function, and appearance while protecting damaged teeth for long-lasting oral health.

Accreditations, Awards, and Recognitions

Why Choose Family Dentistry of Niles for Your Dental Services?

At Family Dentistry of Niles, we are committed to providing dependable, patient-centered care in a welcoming and supportive setting. Our team combines advanced technology and equipment with thoughtful treatment planning to ensure every procedure is precise, comfortable, and long-lasting. From digital imaging to carefully selected restorative materials, we focus on quality at every step.

Our experienced dental professionals take the time to understand your concerns, explain your options clearly, and design a treatment plan tailored to your needs. Whether you need a single crown or a more comprehensive restoration, our goal is to restore strength, comfort, and confidence to your smile while delivering results that look natural and feel secure.

1-5.webp

Experienced & Compassionate Team

Our skilled clinicians provide gentle, patient-focused care tailored to your unique needs.

1-5.webp

Personalized Treatment Plans

Every smile is different. We design solutions based on your goals, comfort, and oral health.

1-5.webp

Comfort-Focused Environment

Relax in a warm, welcoming dental office designed to reduce stress and anxiety.

1-5.webp

Comprehensive Dental Care

From preventive checkups to cosmetic and restorative treatments, we care for every stage of your smile.

1-5.webp

Modern Dental Technology

Advanced diagnostics and precision tools ensure safer, more efficient, and comfortable visits.

Dental Crowns -1

What Are Dental Crowns?

Dental Crowns are custom-made restorations designed to protect and restore teeth that are damaged or weakened. At Family Dentistry of Niles each crown is carefully crafted to fit over your natural tooth, improving its strength, shape, and appearance while preserving healthy structure.

Crowns are often recommended for cracked, severely decayed, or worn teeth, as well as after root canal treatment. They can also restore dental implants or support bridges. Using durable, colour-matched porcelain or ceramic, our dentist in Niles ensures natural-looking results. Dental crowns in Niles IL provide long-lasting protection, helping you bite, chew, and smile with comfort and confidence.

Signs You May Need Dental Crowns in Niles

Maintaining routine dental appointments plays an important role in protecting your oral health, but certain changes may signal that you should schedule a visit sooner rather than later. Identifying concerns early allows for timely care and helps prevent minor issues from becoming more complex problems.

You should consider booking an appointment with a dental clinic in Niles IL if you experience:

These signs suggest dental issues needing professional care. Early evaluation protects comfort, function, appearance, and long-term oral health.

Dental Crowns -2
Dental Crowns -3

Benefits of Dental Crowns in Niles

Explore the benefits of Dental Crowns in Niles, including strengthened teeth, restored function, protection against further damage, and a natural-looking, confident smile.

Strength and Protection

A dental crown protects and strengthens a damaged tooth by fully covering it. It shields against pressure, decay, and fractures while preserving the natural structure and alignment of your smile.

Restored Function

Crowns reinforce weak or cracked teeth, restoring comfortable chewing and normal bite function. They are custom-made for a secure, natural fit.

Natural Appearance

Porcelain and ceramic crowns are designed to match your natural teeth in shape and shade, blending seamlessly with your smile.

Long-Lasting Durability

Crafted from strong materials, crowns withstand daily chewing forces and can last many years with proper care.

Support for Other Treatments

Crowns also complete dental implants and support dental bridges, helping restore missing teeth and overall function.

How Much Do Dental Crowns Cost in Niles?

The cost of dental crowns depends on the material chosen, the tooth involved, and whether additional treatment is needed. Crowns made from porcelain are popular for their natural appearance, while a full gold crown may be recommended for back teeth due to its strength and durability.

If the crown is placed after a root canal or as part of an implant restoration, extra steps may affect the overall cost. A personalized consultation allows us to assess your needs and provide a clear estimate. We priorities transparency and will explain all options so you can make an informed decision about your care.

Flexible Payment Options
We understand that restorative dentistry in Niles is an investment in your health. To make care more accessible, we offer flexible payment solutions designed to fit your budget while ensuring you receive timely treatment.

Free Smile Consultation
Book your free consultation to explore Dental Crowns in Niles and receive a personalized treatment and cost plan with no obligation.

Dental Crowns -4

Our 4-Step Dental Crown Process

At Family Dentistry of Niles, our 4-step Dental Crown process is designed to restore damaged teeth with precision, durability, and a natural appearance for long-lasting dental health.

01.

Comprehensive Examination

Your visit begins with a careful evaluation of your tooth and overall oral health. Digital imaging may be used to confirm a crown is the best solution and ensure long-term stability.

02.

Tooth
Preparation

The affected tooth is gently reshaped to create space for the crown. Precise impressions are taken to ensure a secure, natural-looking fit. A temporary crown may be placed to protect the tooth while your custom restoration is being made.

03.

Custom Crown Fabrication

Your crown is crafted from durable, high-quality materials designed to restore function and appearance. Attention is given to colour, shape, and bite alignment so it blends naturally with your smile.

04.

Final Placement & Adjustment

Once ready, the crown is securely bonded to your tooth. Final adjustments are made to ensure comfort and proper bite. Follow-up care helps maintain long-term results and overall oral health.

Meet Our dentist in Niles

Family Dentistry of Niles features an experienced dental team dedicated to exceptional care. Led by Dr. Priya Shah, D.D.S., the practice also includes trusted dentists and hygienists who bring 40+ years of clinical excellence and personalized service to every patient relationship. From general dentistry to complex restorative treatments, each team member focuses on comfort, communication, and quality outcomes that keep smiles healthy and vibrant.

Untitled-design-2026-02-17T133720.314.webp

Dr. Priya Shah

Practice Owner
Untitled-design-2026-02-17T133726.752.webp

Gary M. LaMantia

Dentist
Untitled-design-2026-02-17T133731.937.webp

Richard C. Mazanek

Mentor
Untitled-design-2026-02-17T133818.744.webp

Sharon Mazur R.D.H

Dental Hygienist
Aseel Mohammad

Aseel Mohammad R.D.H

Dental Hygienist

We love and accept all major health insurance

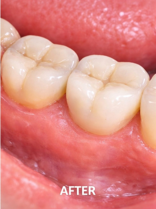
D-12-6-Before D-12-6-After

Real Results. Real Patient Transformations.

Patient: 38-year-old female

Primary Concern: Large cavity and structural weakening of molar

Clinical Findings: Significant decay compromising tooth integrity

Procedure:Custom Porcelain Dental Crown

Performed by: Dr. Priya Shah, DDS

Clinical Overview: The patient presented with extensive decay that could not be predictably restored with a filling. After removing the compromised structure, Dr. Shah prepared the tooth for full-coverage restoration .A custom porcelain crown was fabricated to match the patient’s natural tooth colored fillings and contour. The crown was securely bonded to restore strength, function, and long-term durability.

Outcome: Tooth fully reinforced. Fracture risk reduced. Natural appearance preserved.

Before and After Gallery

Explore the Before and After Gallery at Family Dentistry of Niles to see real patient results and the quality care behind every transformed smile.

Our Advanced Technology and Techniques

At Family Dentistry of Niles, we use advanced dental technology to improve accuracy, enhance comfort, and deliver better treatment outcomes. Our modern equipment allows us to detect concerns early, plan treatments precisely, and provide a safer and more efficient experience for patients of all ages.

CBCT 3D Imaging

Our CBCT 3D imaging system provides highly detailed, three-dimensional views of teeth, bone, and surrounding structures. This advanced imaging technology supports precise diagnosis and treatment planning, especially for dental implants, surgical procedures, and complex restorative treatments.

Intraoral Cameras

Intraoral cameras capture clear, real-time images inside your mouth. These detailed visuals help patients better understand their oral health and allow for more transparent discussions during exams and treatment planning.

Digital X-Rays

Digital X-rays produce high-quality images while significantly reducing radiation exposure compared to traditional X-rays. They help us quickly and accurately detect cavities, bone loss, infections, and other dental concerns.

Digital Scanners

We use advanced digital scanners to create accurate 3D images of your teeth and gums. This technology eliminates the need for messy traditional impressions and improves comfort during the scanning process. Digital scanners enhance precision when planning crowns, bridges, clear aligners, and other restorative treatments.

Nitrous Oxide Sedation

For patients who experience dental anxiety, we offer nitrous oxide sedation. This safe and gentle option helps patients remain calm and relaxed throughout their treatment.

Sterilization & Infection Control Systems

We maintain strict sterilization and infection control protocols using advanced equipment and industry-standard safety procedures. Patient safety, cleanliness, and hygiene remain our highest priorities.

Due for a Dental Consultation? Book Online with Family Dentistry of Niles

Whether you’re due for a routine check-up, Invisalign, filling, extraction, dentures, cosmetic smile enhancement, or advanced restorative care — our experienced dental team is here to help.

Convenient Booking: Scheduling is simple and fast. Book your consultation online in just a few clicks or call our office to reserve your appointment.

Contact Details

Office Hours

Address

Social Media Links

Patient Testimonials for Dental Crowns at Family Dentistry of Niles

Hear from our patients about their experience with Dental Crowns at Family Dentistry of Niles and how our expert care has restored their teeth, function, and confidence in their smiles.

Google-reviews

Book Your Free Dental Crown Consultation Today

Restore your smile with durable, natural-looking Dental Crowns in Niles tailored to your needs. Schedule your appointment today and experience personalized restorative care.

Frequently Asked Questions

Find answers to common questions about Dental Crowns at Family Dentistry of Niles and learn what to expect before, during, and after your treatment to restore strength, function, and a natural appearance to your teeth.

A custom-made cap is placed over a weakened or broken tooth to protect it from further damage. This option is often recommended when a tooth has severe decay, cracks, or has undergone root canal treatment. It helps bring back strength and function while preserving as much natural structure as possible.

This treatment strengthens a compromised tooth by covering it completely and supporting its remaining structure. At Family Dentistry of Niles, the goal is to provide lasting protection so patients can chew and speak comfortably again while preventing additional wear or fracture.

Restorations can be created from materials such as porcelain or ceramic to ensure both durability and a lifelike appearance. The selected material is carefully matched to surrounding teeth for a natural blend. Your provider will recommend the most suitable option based on your bite and oral health needs.

With consistent brushing, flossing, and regular checkups at Family Dentistry of Niles, these restorations can last for many years. Avoiding habits like chewing ice or other hard objects also helps extend their lifespan. Routine visits allow early detection of any concerns before they become serious.

At Family Dentistry of Niles, the procedure is performed using local anesthesia to maintain comfort throughout the visit. Most patients report minimal discomfort during and after the appointment. Mild sensitivity may occur temporarily but typically resolves quickly.

Daily oral hygiene plays an important role in maintaining long-term results. Brushing twice a day, flossing carefully around the treated area, and attending professional cleanings help protect both the restoration and surrounding teeth. Good care supports lasting strength and appearance.

This option can enhance the look of a worn, discolored, or misshapen tooth. Because it is color-matched to neighboring teeth, it blends naturally and improves overall smile balance. It offers both cosmetic and functional benefits in a single solution.

Replacement may be necessary if there are signs of loosening, visible cracks, discomfort, or changes in fit. Regular dental examinations help identify wear or hidden issues early. Timely evaluation ensures continued protection and proper performance.

Suitability depends on individual dental health, age, and the extent of damage. Adults are the most common candidates, though recommendations vary based on specific clinical findings. A personalized evaluation helps determine the right course of action.

These restorations are commonly attached to implants to replace missing teeth. They complete the treatment by restoring natural shape, strength, and chewing ability. This combination provides a stable and long-lasting replacement option.