Your paragraph text (2)

Spark™ Clear Aligners in Niles, IL

Affordable and Trusted Spark™ Clear Aligners in Niles from Experienced Dentists

Spark™ Clear Aligners in Niles provide discreet, comfortable orthodontic treatment to straighten teeth and improve smiles.

Accreditations, Awards, and Recognitions

Why Choose Family Dentistry of Niles for Your Dental Services?

At Family Dentistry of Niles, we focus on providing personalized orthodontic care using modern aligner technology designed for comfort and effective results. Our team helps patients achieve straighter teeth without the hassle of metal braces, offering a discreet and convenient treatment experience.

We carefully evaluate each patient’s smile makeover and develop a customized plan to correct common alignment concerns including crowding, spacing issues, and bite irregularities. Clear aligner treatment can also help address problems such as overbites and underbites, gradually improving both function and appearance.

With advanced technology, supportive care, and clear guidance throughout treatment, we aim to deliver healthy, confident smiles for every patient.

1-5.webp

Experienced & Compassionate Team

Our skilled clinicians provide gentle, patient-focused care tailored to your unique needs.

1-5.webp

Personalized Treatment Plans

Every smile is different. We design solutions based on your goals, comfort, and oral health.

1-5.webp

Comfort-Focused Environment

Relax in a warm, welcoming dental office designed to reduce stress and anxiety.

1-5.webp

Comprehensive Dental Care

From preventive checkups to cosmetic and restorative treatments, we care for every stage of your smile.

1-5.webp

Modern Dental Technology

Advanced diagnostics and precision tools ensure safer, more efficient, and comfortable visits.

Clear Aligners in Niles

What Are Spark™ Clear Aligners?

Spark™ Clear Aligners are a modern orthodontics solution designed to straighten teeth using a custom-made set of aligners. At Family Dentistry of Niles, this advanced treatment helps patients achieve a straighter smile without traditional metal braces.

Each aligner is carefully designed to apply gentle pressure that gradually moves teeth into the correct position. An experienced orthodontist evaluates your smile and creates a personalized plan using advanced technology. Patients receive a series of aligners that are changed regularly throughout the treatment.

These clear trays are comfortable, removable, and discreet. Spark™ Clear Aligners in Niles provide flexible treatment options for correcting crowding, spacing, and bite concerns while maintaining a natural appearance.

Signs You May Need Spark Clear Aligners in Niles

Maintaining regular dental visits helps protect your oral health, but certain alignment concerns may indicate that orthodontic care could be beneficial. Identifying these issues early allows for timely treatment and helps prevent bite problems from becoming more complex over time.

You should consider booking an appointment with a Spark™ provider if you experience:

Many patients prefer this leading aligner brand because the aligners are nearly invisible, allowing orthodontic treatment to remain discreet. During treatment, patients wear each set of aligners for a specific period before switching to the next one in the series, helping teeth gradually move into better alignment while maintaining comfort and convenience.

Clear Aligners in Niles-8
Clear Aligners in Niles-5

Benefits of Spark™ Clear Aligners in Niles

Spark™ clear aligners offer both functional and aesthetic benefits, making them a dependable orthodontic solution for improving tooth alignment. They help correct spacing, crowding, and bite concerns while providing a comfortable and discreet way to achieve a healthier smile.

Virtually Invisible Appearance

Spark™ aligners are virtually invisible, making them a discreet orthodontic solution in Niles, IL for patients wanting straighter teeth confidently.

Comfortable Orthodontic Treatment

These comfortable aligners are designed with smooth edges, offering a gentle fit while moving teeth gradually under the guidance of an orthodontist near you.

Removable for Daily Convenience

Spark™ aligners are removable, allowing patients to eat, brush, and floss normally while maintaining oral hygiene throughout treatment.

Effective for Spacing and Alignment Issues

Spark™ clear aligners can treat spacing, crowding, and bite concerns by gradually adjusting teeth alignment through a customized series of trays.

Modern Alternative to Metal Braces

For many patients in Niles, IL, Spark™ aligners provide a modern alternative to metal braces while delivering reliable orthodontic results.

Consistent Daily Wear for Results

Patients usually wear aligners for about 22 hours daily, ensuring steady tooth movement and predictable orthodontic progress during treatment.

How Much Do Spark™ Clear Aligners Cost in Niles?

The cost of Spark™ treatment depends on the complexity of your orthodontic needs, the number of aligners required, and the length of the treatment plan. Spark™ clear aligners are designed to gradually move teeth into better alignment using a comfortable and predictable system. These clearer aligners improve appearance and comfort, while the aligners have smooth edges that make them easier to wear throughout daily activities.

Because clear aligners offer flexibility, patients remove aligners before eating and during oral hygiene routines. Treatment includes regular office visits and the Spark™ approver reviewing progress. Aligners use a proven system to guide teeth gradually into proper alignment.

Flexible Payment Options

Dentist in Niles IL understand that orthodontic treatment is an investment in your long-term oral health. To make care more accessible, we provide flexible payment options that help patients begin treatment without unnecessary financial stress.

Free Smile Consultation

Book your free consultation to learn more about Spark™ Clear Aligners in Niles and receive a personalized treatment plan and cost estimate tailored to your smile makeover goals.

Clear Aligners in Niles--6

Our 4-Step Spark™ Clear Aligners Process

At Family Dentistry of Niles, our 4-step Spark™ Clear Aligners process is designed to gradually straighten your teeth with precision, comfort, and a nearly invisible appearance for a healthier, more confident smile.

01.

Consultation and Digital Smile Scan

Your dentist begins the aligner treatment process with a consultation and precise 3D digital scan, evaluating tooth alignment and planning how treatment will improve your smile.

02.

Custom Treatment Planning

Using advanced technology, your dentist designs a plan with the help of Spark™ clear aligners. Clear aligners use a proven method to gradually move teeth.

03.

Receiving Your
Aligners

Patients receive a new set of aligners every one to two weeks. Spark™ aligners are clearer than the leading aligner and designed for comfortable daily wear.

04.

Wearing and Monitoring Treatment

For effective results, patients use Spark™ clear aligners and wear them about 22 hours a day, allowing teeth to shift gradually with regular monitoring.

Meet Our dentist in Niles

Family Dentistry of Niles features an experienced dental team dedicated to exceptional care. Led by Dr. Priya Shah, D.D.S., the practice also includes trusted dentists and hygienists who bring 40+ years of clinical excellence and personalized service to every patient relationship. From general dentistry to complex restorative treatments, each team member focuses on comfort, communication, and quality outcomes that keep smiles healthy and vibrant.

Untitled-design-2026-02-17T133720.314.webp

Dr. Priya Shah

Practice Owner
Untitled-design-2026-02-17T133726.752.webp

Gary M. LaMantia

Dentist
Untitled-design-2026-02-17T133731.937.webp

Richard C. Mazanek

Mentor
Untitled-design-2026-02-17T133818.744.webp

Sharon Mazur R.D.H

Dental Hygienist
Aseel Mohammad

Aseel Mohammad R.D.H

Dental Hygienist

We love and accept all major health insurance

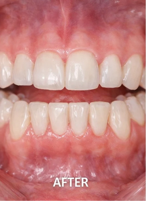
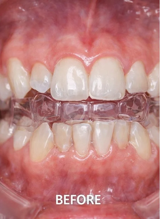
Bedore After

Real Results. Real Patient Transformations.

Patient: 29-year-old female

Primary Concern: Crowding of anterior teeth and uneven smile

Clinical Findings: Mild to moderate dental crowding without skeletal discrepancy

Procedure: Comprehensive Invisalign Clear Aligner Therapy

Performed by: Dr. Priya Shah, DDS

Clinical Overview:The patient desired orthodontic correction without traditional braces. A digital scan was performed to assess alignment and bite relationships.
Dr. Shah developed a customized Spark aligner treatment plan using a series of precision aligners designed to gradually reposition the teeth. Progress was monitored at regular intervals to ensure controlled, predictable movement.

Outcome: Improved alignment, enhanced smile symmetry, and easier long-term oral hygiene maintenance appearance preserved.

Before and After Gallery

Explore the Before and After Gallery at Family Dentistry of Niles to see real patient results and the quality care behind every transformed smile.

Our Advanced Technology and Techniques

At Family Dentistry of Niles, we use advanced dental technology to improve accuracy, enhance comfort, and deliver better treatment outcomes. Our modern equipment allows us to detect concerns early, plan treatments precisely, and provide a safer and more efficient experience for patients of all ages.

CBCT 3D Imaging

Our CBCT 3D imaging system provides highly detailed, three-dimensional views of teeth, bone, and surrounding structures. This advanced imaging technology supports precise diagnosis and treatment planning, especially for dental implants, surgical procedures, and complex restorative treatments.

Intraoral Cameras

Intraoral cameras capture clear, real-time images inside your mouth. These detailed visuals help patients better understand their oral health and allow for more transparent discussions during exams and treatment planning.

Digital X-Rays

Digital X-rays produce high-quality images while significantly reducing radiation exposure compared to traditional X-rays. They help us quickly and accurately detect cavities, bone loss, infections, and other dental concerns.

Digital Scanners

We use advanced digital scanners to create accurate 3D images of your teeth and gums. This technology eliminates the need for messy traditional impressions and improves comfort during the scanning process. Digital scanners enhance precision when planning crowns, bridges, clear aligners, and other restorative treatments.

Nitrous Oxide Sedation

For patients who experience dental anxiety, we offer nitrous oxide sedation. This safe and gentle option helps patients remain calm and relaxed throughout their treatment.

Sterilization & Infection Control Systems

We maintain strict sterilization and infection control protocols using advanced equipment and industry-standard safety procedures. Patient safety, cleanliness, and hygiene remain our highest priorities.

Due for a Dental Consultation? Book Online with Family Dentistry of Niles

Whether you’re due for a routine check-up, Invisalign, filling, extraction, dentures, cosmetic dentistry in Niles IL, or advanced restorative care — our experienced dental team is here to help.

Convenient Booking: Scheduling is simple and fast. Book your consultation online in just a few clicks or call our office to reserve your appointment.

Contact Details

Office Hours

Address

Social Media Links

Patient Testimonials for Spark™ Clear Aligners at Family Dentistry of Niles

Hear from our patients about their experience with Spark™ Clear Aligners at Family Dentistry of Niles and how our expert care has helped them achieve straighter teeth, improved comfort, and greater confidence in their smiles.

Google-reviews

Book Your Free Spark™ Clear Aligners Consultation Today

Transform your smile with comfortable, discreet Spark™ Clear Aligners in Niles tailored to your needs. Schedule your appointment today and experience personalized orthodontic care designed to improve alignment and confidence.

Frequently Asked Questions

Find answers to common questions about Spark™ Clear Aligners at Family Dentistry of Niles and learn what to expect before, during, and throughout your treatment as your teeth gradually move into a straighter, healthier, and more confident smile.

Spark™ clear aligners are custom trays designed to straighten teeth using modern orthodontic technology. The aligners are made from clear material and guide teeth using a proven system of office visits and adjustments. With the help of Spark™ clear aligners, teeth move gradually into better alignment through a series of custom trays.

Many patients choose Spark™ treatment because it improves alignment without the look of metal braces. Spark™ aligners are clearer than many alternatives and provide comfortable orthodontic treatment options while still allowing effective tooth movement for many alignment concerns.

Treatment time varies depending on the complexity of the case. In many situations, teeth will move gradually over several months. Regular office visits and the Spark™ approver reviewing progress help ensure treatment stays on track.

Spark™ aligners are designed with smooth edges and precise shaping so clear aligners fit comfortably over teeth. Many patients find them easier to wear than traditional braces while still achieving effective tooth movement.

For best results, patients should wear aligners 20 to 22 hours daily or approximately 22 hours each day. This consistent wear allows teeth to move properly and helps keep treatment progressing as planned.

Yes. Spark™ aligners are removable, allowing patients to remove aligners before eating and brushing. This flexibility helps maintain oral hygiene and protects the aligners from damage during meals.

Patients should gently rinse and clean aligners daily to maintain hygiene. Since clear aligners are removable, they can be cleaned easily before being placed back over teeth.

Spark™ aligners can treat a wide range of orthodontic concerns, including crowding and spacing. These orthodontic treatment options are suitable for both teenagers and adults looking to achieve the smile they want.

Once treatment is complete, retainers are usually recommended to maintain results. They help keep teeth in their new position after alignment has been achieved.

A consultation with a Spark™ provider or dentist near you will determine if clear aligners are right for your needs. The doctor and his staff will evaluate your smile using advanced software to your best advantage and create a personalized treatment plan that moves teeth using a series of aligners, typically monitored during visits every six weeks.